top of page


Latest Advances in Oral Medicine and Oral Pathology
Oral medicine and oral pathology are dynamic fields that continually evolve with advances in research and technology. Recent developments...

Kashifa Muskan
Jul 7, 20243 min read


The Role of Genetics in Dental Health
Understanding the factors that influence dental health is crucial for maintaining a healthy smile and overall well-being. While diet,...

Kashifa Muskan
Jul 6, 20243 min read


Forensic Odontology: An Integral Field in Forensic Science
Forensic odontology, a specialized branch of forensic science, involves the application of dental expertise to assist in the...

Kashifa Muskan
Jul 6, 20242 min read


The Bright Side of Dentistry: A Guide to Teeth Bleaching
In the quest for a dazzling smile, teeth bleaching has become a popular cosmetic dental procedure. What is Teeth Bleaching? Teeth...

Kashifa Muskan
Jun 29, 20242 min read


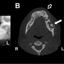
All about CT, MRI and intral oral scanners in dentistry
In dentistry, CT scans, MRI scans, and intraoral scanners are used for various diagnostic and treatment planning purposes. CT Scans...

Kashifa Muskan
Jun 5, 20241 min read


Oral health: A window to your overall health
What's the link between oral health and overall health? Like other areas of the body, the mouth is full of germs. Those germs are mostly...

Kashifa Muskan
Jun 4, 20242 min read


AI in dentistry
Artificial intelligence (AI) has remarkably increased its presence and significance in a wide range of sectors, including dentistry. It...

Kashifa Muskan
Jun 4, 20242 min read


The Importance of Mouthguards in Sports
Whether you’re a professional athlete or a weekend warrior, protecting your teeth and mouth is crucial during sports activities....

Kashifa Muskan
May 25, 20242 min read


Understanding Gingivitis: Causes, Symptoms, and Treatment
Gingivitis is a common but often overlooked dental issue that can lead to serious health problems if left untreated. It is a form of gum...

Kashifa Muskan
May 25, 20242 min read


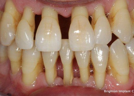
Crowns and bridges in maintaining tooth health
What Are Dental Crowns? A dental crown is a custom-made cap designed to cover a damaged or decayed tooth. It's shaped like your natural...

Kashifa Muskan
May 23, 20241 min read


Breathing Easy: The Importance of Respiratory Care
Breathing Easy: The Importance of Respiratory Care Our respiratory system plays a crucial role in keeping us alive and healthy. From the...

Kashifa Muskan
May 23, 20242 min read


Visualizing Wellness: The Power of Healthful Images
In a world where we are constantly bombarded with information and stimuli, the power of visual imagery cannot be underestimated. When it...

Kashifa Muskan
May 23, 20242 min read


Unlocking the Secrets of Oral Health
When it comes to maintaining good health, oral care is often overlooked. However, the health of your mouth can impact your overall...

Kashifa Muskan
May 23, 20242 min read
bottom of page